
該研究探討了3-氧酸輔酶A轉移酶1(OXCT1)在肝細胞癌(HCC)中的免疫調節作用,特別是其在腫瘤相關巨噬細胞(TAMs)中的作用,以及如何通過調節CD8+ T細胞的抗腫瘤免疫反應來影響HCC的進展。文章的主要發現和結論如下:

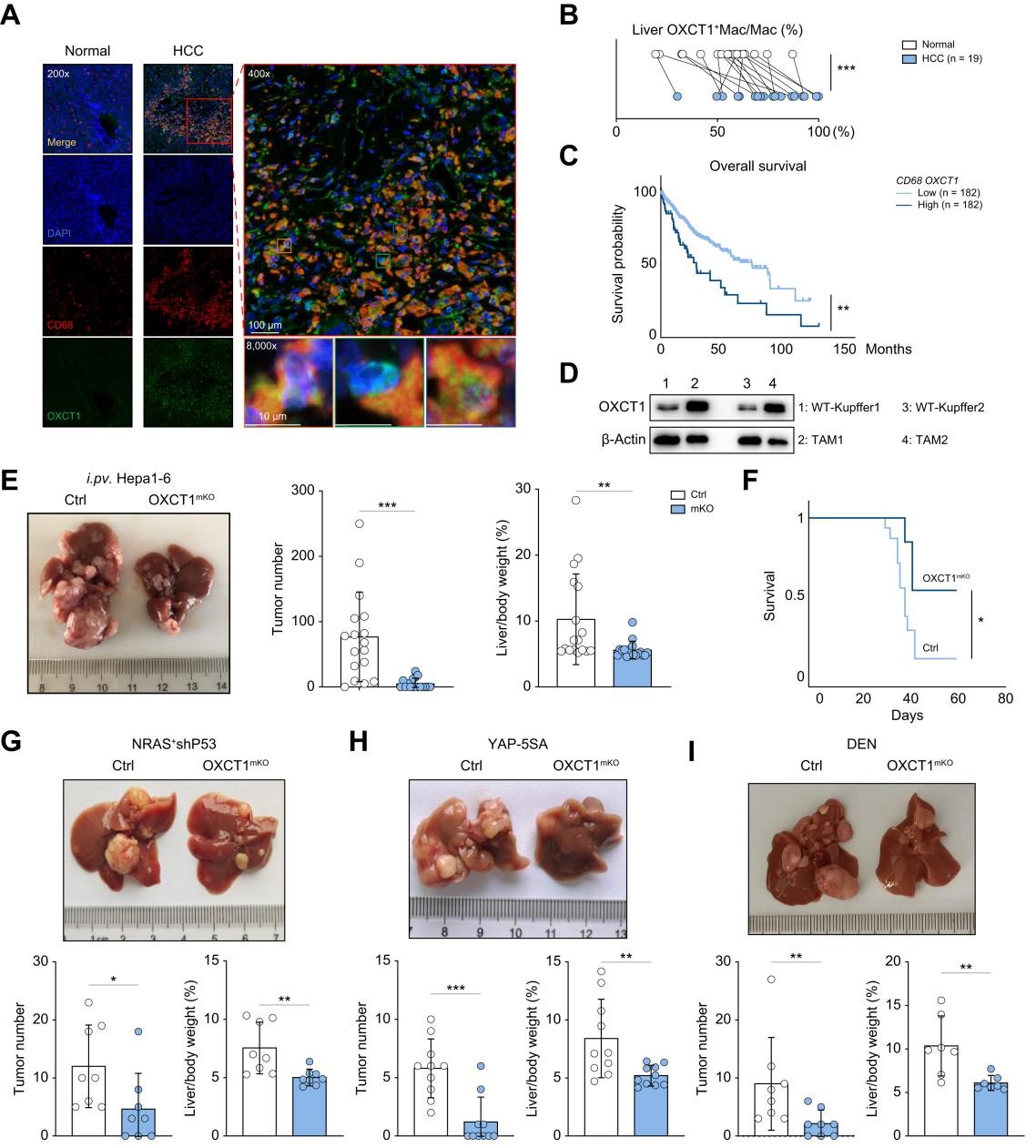
OXCT1在HCC中的作用:研究發現,OXCT1在HCC細胞中高表達,并通過促進腫瘤進展來激活酮解作用。此外,OXCT1在TAMs中的表達也增加,且與患者的預后不良相關。
伊萊博生物已建立完善的生物信息學分析與靶點挖掘平臺,涵蓋常見的人、小鼠、大鼠等物種的自測數據和公共數據分析。該研究中所使用的轉錄組測序、單細胞測序、細胞通訊、軌跡分化等分析和結果結果,我們均可以實現。

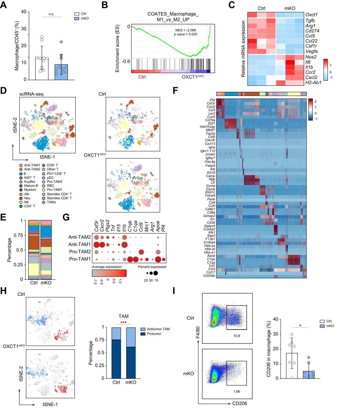
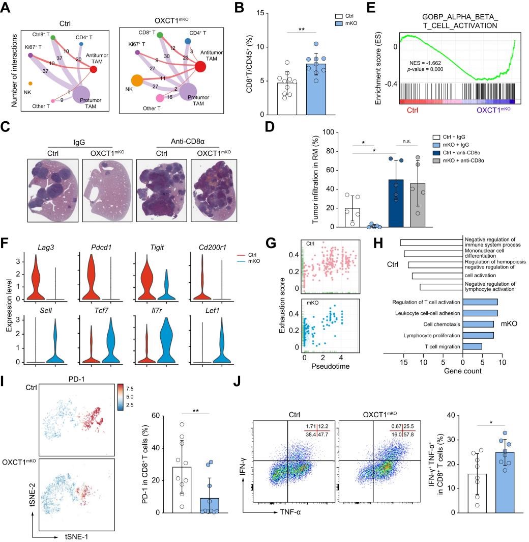
OXCT1對TAMs的影響:研究通過在小鼠模型中敲除巨噬細胞中的OXCT1(OXCT1mKO或mKO),發現OXCT1的缺失可以抑制腫瘤生長,通過重新編程TAMs向抗腫瘤表型轉變,減少CD8+ T細胞的耗竭,并增加CD8+ T細胞的細胞毒性。

OXCT1、琥珀酸和Arg1軸:研究揭示了OXCT1高表達在TAMs中誘導琥珀酸積累,琥珀酸通過增加Arg1啟動子區域的H3K4me3水平來促進Arg1轉錄。此外,OXCT1的抑制劑Pimozide(PZ)能夠抑制Arg1表達和TAMs向促腫瘤表型的極化,從而減少CD8+ T細胞的耗竭和減緩腫瘤生長。

OXCT1作為治療靶點:研究表明,通過抑制OXCT1活性來治療HCC是一種潛在的有效方法。研究還發現,PZ能夠通過影響OXCT1-琥珀酸-H3K4me3-Arg1軸來抑制HCC生長。


研究方法:研究使用了多種方法,包括多重免疫組化實驗、流式細胞術、RNA測序、單細胞RNA測序、ChIP測序、代謝物分離和液相色譜分析等。
結論:研究結果表明,OXCT1在TAMs中的活性抑制可以作為一種有效的HCC治療方法,通過表觀遺傳學機制抑制抗腫瘤免疫反應。
這篇文章提供了關于OXCT1在HCC中作用的新見解,并為開發新的HCC治療策略提供了科學依據。
