
研究背景:
細胞不斷感知和響應微環境中的生化和生物力學變化,需要動態代謝適應。細胞外基質(ECM)硬化是癌癥侵襲性的標志,而基質剝離下的生存也與不良預后相關。細胞通過整合素共軛結合的焦點附著斑(FAs) 感知ECM的物理特性,影響細胞遷移、分化和存活。由于組織纖維化和ECM硬化與腫瘤預后不良相關,通過膠原蛋白消耗或賴氨酸氧化酶(LOX)抑制或藥物改變細胞機械轉導來抑制ECM硬化已成為癌癥治療的有希望的選擇。腫瘤細胞如何在堅硬的基質上獲得生長優勢,而在基質脫離時抵抗失巢凋亡死亡仍然是一個謎,其作用機制仍不清楚。
失巢凋亡是一種特殊形式的程序性細胞死亡。正常貼壁生長的細胞在失去與細胞外基質(ECM)的黏附或細胞間相互接觸受到破壞后,因無法從周圍環境中獲得生存信號而啟動的一種細胞凋亡程序。腫瘤細胞的轉移是一個復雜的多步驟過程,其中包括腫瘤細胞從原發腫瘤組織脫離、侵入周圍組織、進入血液循環或淋巴循環、在遠處器官黏附和定植等環節。失巢凋亡在腫瘤轉移過程中起著重要的屏障作用。正常情況下,脫離原發腫瘤組織的腫瘤細胞由于失去了與細胞外基質的黏附,應該發生失巢凋亡而死亡,從而限制了腫瘤細胞的擴散。然而,腫瘤細胞往往通過多種方式逃避失巢凋亡,這使得其能夠在血液循環中存活并轉移到遠端器官,形成轉移灶。
在本研究中,研究人員詳細介紹了整合素/GSK3 β/FTO/MTOR軸在乳腺癌進展中的作用:乳腺癌細胞通過該信號軸整合剛度感知,以確保剛性基質賦予的生長優勢和基質剝離下細胞的抗失巢凋亡能力。

圖1 作用模式圖
研究結果:
1. 基質硬化激活mTORC1通路,促進細胞生長
研究的結果表明,在剛性培養條件下,使用mTORC1抑制劑雷帕霉素和/或肌球蛋白II抑制劑blebbistatin抑制細胞收縮力后,細胞生長顯著降低。RNA-Seq的分析結果發現在硬基質培養條件下的上調特征基因富集在mTORC1信號通路。此外,與軟基質相比,多種細胞在硬基質條件下的phos-S6水平顯著增加,而總S6水平沒有明顯變化。同時,AKT和AMPKα磷酸化水平無顯著差異,這表明mTORC1在硬化條件下激活的特異性。

圖2 硬基質培養條件下mTORC1激活介導細胞生長
2. mTORC1在硬基質上的激活受基于整合素的FAs調控
為研究FAs是否參與底物剛度誘導的mTORC1激活,研究人員首先使用免疫熒光染色,檢測到mTOR/Phos-S6與FA標記蛋白paxillin或vinculin在硬基質而不是軟基質上的強共定位。而使用blebbistatin干擾硬基質培養細胞的細胞收縮性時,共聚焦和超分辨率STED成像表明mTOR和phos-S6的特異性FA定位消失。表明FAs在硬基質誘導的mTORC1激活中起關鍵作用。

圖3 mTORC1在硬基質上的激活受基于整合素的FAs調控
此外,mTOR蛋白質水平和mTORC1活性的同時減低只在敲低??1整合蛋白時發生。同時,整合素??1的敲低阻礙了mTOR/phos-S6和paxillin在硬基質上的共定位,并降低了 mTORC1的活性。這些結果揭示了整合素??1在基質硬度介導的mTORC1激活中的重要作用。
3. 軟基質通過調節m6A RNA甲基化降低mTOR蛋白豐度
進一步的研究發現軟基質上的細胞或敲低黏著斑蛋白顯著降低mTOR蛋白水平,而Raptor、mLST8或DEPDC6豐度無變化。MG132在對照組中導致mTOR蛋白的積累。而在blebbistatin處理的細胞中,這種增加被減弱;這暗示在低收縮力下,mTOR蛋白的合成可能受到阻礙,導致總mTOR降低,而兩組間mTOR降解無明顯差異。表明在軟基質下mTOR水平的下降或收縮力的降低是由于蛋白合成受到抑制而非降解增強引起的。

圖4 基質剛性調節mTOR豐度和m6A水平
此外,blebbistatin干預后mTOR mRNA減少,但熒光素酶報告基因檢測mTOR mRNA轉錄能力時,在blebbistatin干預后無顯著差異。相比之下,使用放線菌素D阻斷 RNA合成并監測 mRNA穩定性時, blebbistatin干預后 mTOR mRNA的降解速度明顯加快。使用SRAMP軟件在線預測了位于mTOR mRNA 3'UTR的5個非常高置信度的m6A修飾位點,在blebbistatin治療后,Me-RIP qPCR的結果顯示所有五個位點都表現出升高的m6A修飾。這些數據表明剛性敏感的m6A變化可能介導mTOR蛋白豐度在不同剛度或細胞收縮性條件下的改變。
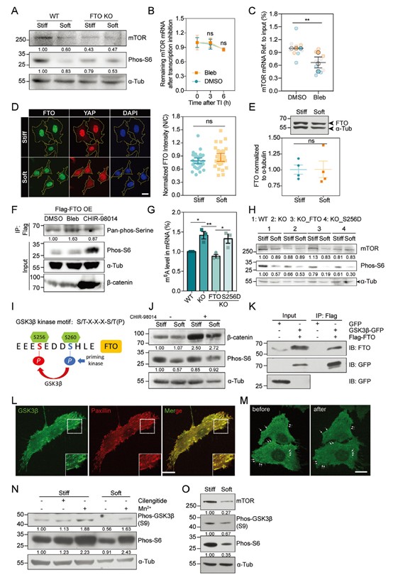
4. FTO磷酸化鏈接剛性傳感與mTOR m6A修飾
隨后,研究人員分析了甲基化酶/去甲基化酶METTL3、METTL14、WTAP、VIRMA、FTO和ALKBH5的干擾對硬基質和軟基質條件下mTOR和phos-S6蛋白變化的影響。發現FTO是參與mTOR m6A修飾的去甲基化酶。RIP-qPCR的結果表明,blebbistatin處理的細胞中mTOR mRNA被FTO富集較對照組減少。表明mTOR mRNA和FTO之間的相互作用可能在低收縮性下被破壞,留下更多的m6A修飾完整而沒有有效擦除。在不同硬度下,FTO的亞細胞定位和蛋白水平均未見明顯變化,而在blebbistatin處理的細胞中,FTO泛磷酸化絲氨酸水平升高,進一步發現FTO的Ser 256位點磷酸化修飾是FTO調控mTORC1的關鍵。
5. GSK3β定位在FA區域,磷酸化FTO激活mTORC1
人類FTO中的重復共識基序“256S/T- e - dd
-S/T(P)260” 與GSK3的底物識別基序 “S/T- x - x - x
-S/T(P)”相匹配。實驗表明,使用CHIR-98014 抑制GSK3β可降低FTO的磷酸化,而通過降低細胞張力激活FTO則會產生相反的效果;同時發現CHIR-98014處理軟基質培養的細胞后,phos-S6水平恢復。此外,免疫共沉淀的結果表明,FTO與GSK3β存在直接結合。GSK3的亞細胞定位研究發現,GSK3在細胞質中主要是彌漫性的,但在細胞的腹側顯示斑塊樣結構,與paxillin在FA位點共定位。

圖5 GSK3通過與整合素的相互作用,在磷酸化FTO中起著重要作用
而錳離子增加了GSK3的ser9上的磷酸化;同時,在硬底物與軟底物上培養的細胞中phos-GSK3 (Ser9)升高,但總GSK3水平沒有顯著變化。這些結果確定了GSK3在基質強度誘導的FTO和mTORC1激活中的潛在作用,以及其潛在機制可能涉及整合素??1。
5. ECM脫離過程中mTORC1調節細胞自噬的作用機制
ECM脫離,相當于一個極其柔軟的基質,已被報道誘導代謝應激導致失巢凋亡,自噬可以 保護細胞免受損傷,促進與ECM的再附著。研究在低黏附基質上培養MDA-MB-231和MEF細胞時,觀察到LC3B-II水平升高和mTOR及phos-S6水平下降。表明了自噬水平的升高。

圖6 基質剛性通過mTORC1信號調控自噬
隨后,懸浮MEF較貼壁細胞碘化丙啶(PI)染色率,而自噬藥理抑制劑氯喹(CQ)的干預進一步增強了細胞死亡程度。在雷帕霉素處理的細胞中,細胞死亡的增強明顯減弱。通過血清刺激激活mTORC1后,也觀察到CQ治療對細胞死亡的類似影響。表明基質分離能夠通過抑制mTORC1活性增強自噬,從而促進細胞對失巢凋亡的抵抗并提高生存率。此外,在多個腫瘤細胞系中觀察到,LC3B-II蛋白在硬底物或高收縮力的細胞中減少,而在軟底物或低收縮力的細胞中增加;且TEM觀察到低收縮性細胞中自噬體數量增加,提示軟基質上自噬通量增強。另外,TSC2敲除細胞中硬基質與軟基質上LC3B-II水平的差異減弱。這表明基質硬化以mTORC1依賴的方式阻礙自噬。最后,在DCIS患者連續切片組織樣本中,與正常乳腺上皮相比,分離細胞和腔細胞的LC3B水平更高,而分離細胞和腔細胞中相應的mTOR 水平與LC3B呈反相關。
綜上所述,研究結果強調了細胞代謝的雙相機制調節,與腫瘤在纖維化等硬化條件下的生長以及癌癥轉移期間的失巢凋亡抗性有關。基質硬化時可以通過整合素和GSK3β-FTO介導的mRNA m6A修飾激活mTORC1,提高mTOR水平,促進合成代謝;在ECM脫離時抑制該軸增強自噬,進而抑制失巢凋亡促進細胞存活。
文獻給讀者的啟發在于揭示剛性感知在腫瘤進展中的作用,一方面揭示實體瘤細胞生長中的新機制;另一方面揭示腫瘤轉移過程中脫離基質后,腫瘤細胞通過自噬抵抗失巢凋亡促進存活的生存策略。這種腫瘤細胞對基質微環境的應答機制有助于對腫瘤進展的理解和靶向治療的開發。