

研究人員發現肺癌中IL6的N-糖基化缺陷會誘導癌細胞轉移和對表皮生長因子酪氨酸激酶抑制劑(EGFR-TKIs)產生耐藥性,揭示了其潛在機制,為肺癌治療提供了新的理論依據和潛在靶點。
研究背景:
肺癌是全球癌癥相關死亡的主要原因之一,表皮生長因子受體酪氨酸激酶抑制劑(EGFR-TKIs)是攜帶敏感EGFR突變的肺腺癌患者的標準治療方法,但大多數患者會產生獲得性耐藥。IL6與受體結合后可激活多種信號通路,在肺癌進展和耐藥中起重要作用,但IL6的糖基化修飾對其功能的影響尚不清楚。
研究模式圖:
在非小細胞肺癌(NSCLC)細胞中,在未接受EGFR TKI治療的環境下,自分泌的IL6(NG-IL6)主要在N73位點發生N-糖基化修飾,在T170位點發生O-糖基化修飾。NG-IL6主要激活經典的JAK-STAT3軸,促進細胞增殖。然而,長期使用EGFR TKI治療會導致IL6分泌增加,同時抑制N-糖基轉移酶復合物成分(主要是STT3A或STT3B、RPN1/2、DAD1和 DDOST)的表達。這種抑制作用使得NG-IL6在N73位點的N-糖基化減少,進而導致NG-IL6在N73位點的N -糖基化進一步降低。結果是,獲得耐藥性后,NG-IL6的比例下降,而N-糖基化缺陷型IL6(deNG-IL6)的比例增加。反過來,deNG-IL6將信號偏好從JAK-STAT3軸轉移到SRC-YAP-SOX2軸。這種替代激活的SRC-YAP-SOX2信號促進細胞可塑性,并導致耐藥性的產生。

圖1.長期EGFR TKI治療誘導deNG-IL6驅動腫瘤耐藥。
研究方法:
細胞系與動物模型 :使用多種肺癌細胞系和正常支氣管上皮細胞系,建立了Osimertinib耐藥細胞系和小鼠移植瘤模型。
樣本采集:收集肺癌患者的惡性胸腔積液(MPE)和配對的肺癌組織,包括未接受TKI治療和TKI耐藥患者的樣本。
實驗技術:采用Western blotting、ELISA、基因集富集分析(GSEA)、免疫沉淀、質譜分析、細胞遷移和侵襲實驗、動物體內轉移實驗等多種技術手段。
主要研究結果:
1. IL-6的N-糖基化修飾

圖2 肺癌細胞中IL-6的N-糖基化修飾
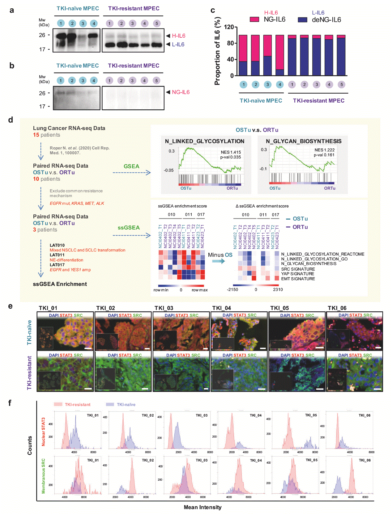
從肺癌患者惡性胸腔積液(MPE)中分離的肺腺癌細胞和多種肺癌細胞系分泌的 IL6 存在兩種形式(H-IL6和L-IL6,重鏈/輕鏈),且H/L比值于不同細胞系間存在差異。GSEA分析發現與N-糖基化過程相關的基因在癌癥組織中富集。抑制劑處理和酶切實驗等證實H-IL6的形成依賴于N-糖基化修飾。
2. N-糖基化IL6促進酪氨酸磷酸化STAT3的核滯留而deNG-IL6誘導EMT的基因特征

圖3 N-糖基化IL6促進酪氨酸磷酸化STAT3的核滯留
研究者預測了兩個潛在的N-糖位點(N73和N172)和四個可能的O-糖位點(T166,T171,T170和S174)存在于hIL 6中。MS結果表明聚糖鏈位于N73、N172和T170,結合通過WB結果分析確定了IL6聚糖鏈的主要附著位點是N73 + T170,而非N172 + T170。
構建野生型和突變型IL6質粒轉染細胞,發現N73Q-IL6缺失H-IL6條帶,表明N73位點的糖基化對IL6功能有重要影響。構建野生型和突變型IL6質粒轉染細胞,發現N73Q-IL6缺失H-IL6條帶,表明N73位點的糖基化對IL6 功能有重要影響。與N73Q-IL6相比,NG-IL6可促進STAT3的酪氨酸磷酸化和核滯留,延長STAT3激活時間;而N73Q-IL6則誘導 STAT3激活時間縮短,并改變下游信號偏好,激活SRC-YAP-SOX2軸;此外,N73Q-IL6可誘導上皮-間質轉化(EMT)相關基因表達,促進肺癌細胞的遷移和侵襲能力,在體內可增強肺癌細胞的轉移能力,且這些作用可被針對SRC、YAP 和SOX2的抑制劑或shRNAs抑制;

圖4 deNG-IL6誘導非小細胞肺癌的EMT、遷移和轉移
此外,EGFR-TKI處理可誘導deNG-IL6的增加,IL6糖基化狀態的這種變化可以將GP130受體的下游信號傳導從JAK-STAT 3切換到SRC-YAP-SOX2。同時,具有高水平deNG-IL6的肺癌細胞傾向于具有EMT相關特性,可轉移到其他器官,并表現出對EGFR-TKI的抗性。

圖5 deNG-IL6將GP130信號偏好從JAK-STAT3切換到SRC-YAP軸

圖6 SOX2參與deNG-IL6誘導SRC-YAP軸驅動的腫瘤細胞遷移和轉移
3. Osimertinib誘導deNG-IL6的表達及SRC-YAP-OX2軸的激活
長期使用EGFR-TKI Osimertinib治療可誘導NG-IL6表達減少和deNG-IL6升高,從而導致肺癌細胞對EGFR-TKI產生耐藥性。

圖7 Osimertinib誘導deNG-IL6的表達和隨后SRC-YAP-OX2軸的激活
阻斷IL6的受體GP130和GP80后,各種細胞系中由WT-IL6和N73 Q-IL6所誘導的STAT 3活性降低,而SRC-YAP軸信號的激活增加,這些數據表明 OR細胞分泌的deNG-IL6不僅維持細胞存活,也有利于細胞遷移。

4. EGFR-TKI耐藥的NSCLC患者表現出高deNG-IL6表達和從JAK-STAT3到SRC-YAP的軸信號移位
為了證明deNG-IL6在NSCLC患者中的存在,研究從對EGFR TKIs具有na?ve(治療前)或耐藥(發生耐藥后)的患者的MPE中分離出MPECs, na?ve MPECs分泌H-IL6 多于 L-IL6,而在EGFR TKIs耐藥MPECs中則相反。同時,RNA測序的富集結果表明,N-糖基化過程在OSTu中增強 而在ORTu中減弱。

圖9 EGFR-TKI耐藥的NSCLC患者表現出高deNG-IL6表達和從JAK-STAT3到SRC-YAP的軸信號移位
EGFR-TKI 耐藥患者的MPECs中deNG-IL6比例增加,且腫瘤組織中STAT3信號減弱,SRC信號增強,進一步證明了deNG-IL6與耐藥和轉移的相關性臨床樣本分析顯示,EGFR-TKI 耐藥患者的MPECs中deNG-IL6比例增加,且腫瘤組織中STAT3信號減弱,SRC信號增強,進一步證明了deNG-IL6與耐藥和轉移的相關性。
研究結論:
1. 在NSCLC中,IL6主要在N73位點發生N-糖基化修飾,該修飾影響其下游信號通路的激活,N-糖基化缺陷的IL6可誘導EMT、遷移、轉移和耐藥。
2. EGFR-TKI治療可降低肺癌細胞中N-糖基化相關酶的表達,導致IL6的N-糖基化減少,進而激活SRC-YAP-SOX2軸,促進癌細胞的可塑性和耐藥性。
3. 監測IL6的糖基化狀態可能有助于預測肺癌的進展和EGFR-TKI耐藥性,為肺癌的治療提供新的潛在靶點和生物標志物。